
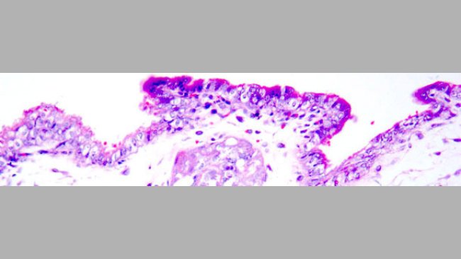
IA nelle scrofette con seme contaminato con PCV2. Protezione mediante vaccinazione delle scrofette contro il PCV2
La vaccinazione delle scrofette contro il PCV2, prima dell'inseminazione con seme infetto da PCV2, ha diminuito chiaramente la carica e l'escrezione virale, fino a valori compatibili con la protezione dei feti.




