
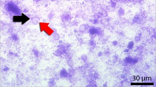
Caso clinico: Blastocystis sp.: dobbiamo considerarlo un nuovo enteropatogeno?
Non si evidenziò nessun enteropatogeno in quantità clinicamente rilevante, per cui la massiccia infestazione di Blastocystis sp. si considerò significativa in questo caso.




