Il virus dell'Influenza A (IAv) è l'agente responsabile di una malattia respiratoria suina molto importante economicamente a livello mondiale. Man a mano che l'evoluzione dell'IAv è diventata più complessa, a acusa di mutazione e ricombinazioni virali, emergono nuove modalità di campionamento e di prove diagnostiche per l'influenza nei suini.
Le prove diagnostiche disponibili permettono l'identificazione diretta o indiretta delle infezioni attive o di esposizioni precedenti, rispettivamente. Il campionamento per le prove dirette, ha l'obiettivo di rilevare la replicazione e l'escrezione virale, che avviene tra i giorni 1 e 8 post infezione. La risposta anticorpale può essere rilevata da 7 a 21 giorni post-esposizione al virus e preferibilmente a partire da un doppio campionamento di sangue eseguiti a 2-4 settimane di intervallo. I campioni per la diagnosi, indipendentemente dal tipo di campione, devono esssere refrigerati a 4°C e trasportati in contenitori termici con ghiaccio ad un laboratorio entro 48 ore (figura 1).


Figura 1. Campioni per il rilevamento diretto o indiretto del virus dell'influenza A nei suini. Il campionamento per il rilevamento diretto deve essere realizzato durante l'escrezione del virus, all'inizio della malattia. Il rilevamento indiretto degli anticorpi contro l'influenza deve essere realizzato dopo l'eliminazione del virus ed ha l'obiettivo di verificare la risposta immunitaria contro l'infezione.
L'analisi attraverso la reazione a catena della polimerasi con trascrizione inversa (RT-PCR, dalle sigle in inglese) è la prova diagnostica più comunemente utilizzata da molti laboratori come strumento di identificazione delle infezioni da IAv a partire da campioni raccolti ante e postmortem, che includono i fluidi orali, secrezioni nasali e tessuto polmonare. La RT-PCR è una prova rapida, sensibile e specifica basata nel ritrovamento del materiale genetico dell'IAv, o RNA, con risultati veloci. Inoltre, la RT-PCR può essere utilizzata per subtipificare le infezioni da influenza e determinare se il virus è un H1N1, H1N2 o H3N2. I risultati della RT-PCR a partire da campioni ottenuti antemortem devono essere interpretati con cautela dato che si può avere un risultato positivo da soggetti senza sintomi clinici nonostante la presenza del virus. Il sequenziamento dei geni specifici dell'influenza, come l'emoaglutinina, e l'isolamento del virus sono ugualmente usati quando si desidera caratterizzare un determinato virus di IA in una popolazione.
L'immunoistochimica (IHC) è una prova adeguata per la diagnosi dell'infezione di influenza nei suini, ma è limitata ai tessuti fissati in formalina. Una reazione chimica produce un segnale che identifica l'antigene virale dell'influenza, che può essere osservato a microscopio. Un vantaggio dell'IHC è che i segnali del virus sono associati a lesioni influenzali del tessuto polmonare. Indubbiamente, la fissazione in formalina e la selezione del campione possono influenzare la sensibilità o specificità della prova.
I campioni raccolti antemortem utili per il rilevamento del virus dell'IA nei suini includono: fluidi orali e secrezioni nasali. I fluidi orali vengono usati sempre di più come strumento diagnostico dovuto alla facilità di campionamento e dovuto al fatto che rappresentano non un singolo individuo ma un gruppo. I campioni di fluidi orali sono raccolti attraverso corde di cotone sospese all'altezza della spalla per circa 20-30 minuti. Si deve evitare la contaminazione esterna con alimento, feci e materiale organico. Le secrezioni nasali si raccolgono con tamponi sterili sintetici (rayon o dacron) in contenitori in plastica con un fluido specifico per questo virus, per il trasporto.
I campioni di fluidi orali possono essere difficili da raccogliere quando si tratta di suinetti appena nati, ma sono adeguati per i suinetti in svezzamento, magronaggio, ingrasso e soggetti adulti. Uno svantaggio dei fluidi orali è che questa modalità di campionamento contiene inibitori che possono ostacolare la rilevazione con la RT-PCR e la presenza di piccole quantità di virus può non permettere la realizzazione del sequenziamento o isolamento del virus. Normalmente, i tamponi nasali funzionano meglio per rilevare ed isolare l'influenza, grazie alle grandi quantità di virus presenti in questo tipo di campione, tuttavia, richiede un campionamento individuale e di conseguenza un numero insufficiente di soggetti che possono essere rappresentativi della popolazione durante la fase infettiva.
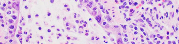
La diagnosi della malattia clinica di IAv nei suini, richiede campioni raccolti postmortem, che possono essere: tessuto polmonare fresco o fissato in formalina, trachea o fluido di lavaggio polmonare. I tessuti polmonari infetti, normalmente, mostrano un grado di consolidamento multifocale di colore purpurea a rosso nelle porzioni cranio-ventrali dei polmoni. Il patologo vedrà necrosi dell'epitelio respiratorio delle vie respiratorie (bronchi e bronchioli) dei polmoni colpiti. La combinazione dei sintomi clinici, lesioni macroscopiche e microscopiche e una prova complementare positivia, come la RT-PCR o IHC, conferma la diagnosi dell'infezione e della malattia influenzale (figura 2).

Figura 2. Il virus dell'Influenza A è una causa importante delle malattie respiratorie suine. A. Le lesioni microscopiche compatibili con l'infezione includono necrosi dell'epitelio bronchiolare (freccia) dove il virus si replica. B. Lesioni polmonari importanti in forma di consolidamento di colorazione purpurea a rossa con l'aspetto di una schacchiera. C. Il virus dell'Influenza A può essere rilevato mediante l'immunoistochimica (IHC) come si osserva dalla colorazione marrone associata alla necrosi dell'epitelio respiratorio (punta della freccia).

Il siero è un campione raccolto antemortem, usato per rilevare gli anticorpi dell'IAv nei suini. La prova ELISA, che blocca la nucleoproteina conservata dell'influenza è uno strumento che serve alla conferma dell'esposizione al virus, della vaccinazione, oppure, nel caso di suinetti giovani o svezzati, della presenza degli anticorpi materni. Senza ombra di dubbio, l'ELISA non è utile per predire la protezione contro l'infezione. Le prove degli anticorpi funzionali, come quella dell'inibizione dell'emoagglutinazione (HI) o la sieroneutralizzazione virale (SN), possono aiutare a predire la protezione incrociata quando si utilizzano l'anti-siero e l'antigene appropriati. L'uso dei vaccini contro l'influenza e l'esistenza di infezioni endemiche attive in molte regioni, possono limitare i benefici della sierologia per l'influenza. Si devono interpretare i risultati sierologici nel contesto, con le caratteristiche specifiche per l'allevamento e lo storico completo.
In genere, quando affrontiamo un'infezione o malattia clinica da influenza nei suini, dobbiamo considerare cosa si vuole diagnosticare e le prove necessarie per ottenere i risultati congrui. Per massimizzare l'efficacia delle prove di diagnosi per l'IAv nei suini, si raccomanda di consultare un veterinario/laboratorio di diagnosi, utilizzando protocolli specifici per la raccolta e analisi dei campioni.



