L'ecografía di tipo B è una modalità di diagnosi ampiamente utilizzata nella riproduzione maschile, in particolare nell'uomo. Si è dimostrato che per determinare le cause di subfertilità ed infertilità, per diagnosticare malattie del tratto genitale maschile, una buona opzione è visualizzare i testicoli, epididimi e ghiandole sessuali accessorie. In medicina veterinaria, l'ecografia è utilizzata in cavalli, tori, cervi e cani, ma anche, con meno frequenza, nei verri, tecnica che sarà descritta in questo articolo.
L'ecografia tipo B del tratto riproduttivo del verro deve essere realizzata mentre in verro si trova in posizione quadrupedale e se possibile immobilizzato. Questo è possibile se lo poniamo in una gabbia oppure quando si fa il prelievo seminale durante la monta artificiale. Un altro approccio per l'immobilizzazione del verro è farlo alzare mediante l'uso di rampe specificatamente disegnate per questo: questa situazione può provocare però una certa limitazione dovuto al dislocamento anatomico del testicolo e dell'epididimo. E ancora è possibile ecografare i verri quando sono tranquilli dopo il prelievo di seme nel loro box.

Esistono diversi tipi di ecografi che possono essere utilizzati per questo fine. Non è nostra intenzione dare quasiasi priorità a determinati modelli ora, gli autori hanno acquisito sperienza con molto successo usando questa tecnica di diagnosi, avvalendosi di un dispositivo che offre alta risoluzione, tra cui il modello HONDA 1600, Fazone CB e Zonare Z-one.
L'ecografia delle ghiandole sessuali accessorie deve essere fatta in modo transrettale, usando una sonda lineare (Clark y Althouse, 2002; figura 1), mentre per i testicoli, epididimo e cordone spermatico, una sonda settoriale o (micro) convessa sono quelle preferite (figure 2A e B). Sono state utilizzate le frequenze da 5,0 a 9,0 MHz, essendo le frequenze più basse più appropriate per i tessuti che richiedono una maggior profondità di penetrazione (ossia: testicolo e corpo dell'epididimo) e le frequenze più elevate per strutture più piccole come la testa e la coda dell'epididimo. Pertanto, dipende da quale struttura si desidera esaminare, la scelta della sonda e la frequenza ottimale...

Prima di ecografare il testicolo, epididimo e cordone spermatico, la superficie scrotale deve essere pulita e se necessario rasata.
I testicoli possono esser ecografati longitudinalmente o transversalmente (figura 2A e B). Per determinare la circonferenza del testicolo, si devono usare immagini trasversali. Il tessuto testicolare sano ha una ecogenicità media e presenta una ecotessitura omogenea, con la rete testis iperecogenico nel centro del testicolo (figura 3A e B).


L'ecografia dell'epididimo deve essere fatta in più posizioni, dipendendo dall'area di interesse. Per la testa, si lavora ventralmente; per il corpo, trasversalmente alla metà dell'asse orizzontale del testicolo, mentre si aggiusta manualmente; per la coda si realizza un'ecografia dorsale mentre si spinge manualmente il testicolo e l'epididimo dorsalmente (figura 4, Kauffold et al., 2011).

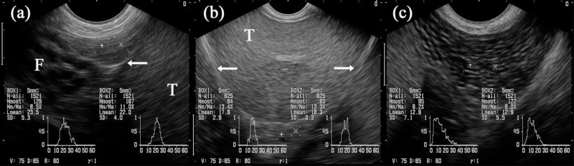
In genere, il tessuto dell'epididimo ha ugualmente una tessitura ecografica omogenea e regolare, essendo più sottile nella testa e nel corpo, e un poco marmorizzata nella coda (figura 5A-C). Tuttavia, l'ecogenicità determinata dall'"analisi di scala di grigio", è data come il valore grigio medio, differendo leggermente tra i 3 segmenti, assieme ai cambi d'immagini ottenute confrontando prima e dopo la raccolta del seme del verro (Kauffold et al. 2011).

Clark e Althouse (2002) hanno descritto al meglio le ghiandole sessuali accessorie sane (bulbouretrale, prostata e vesicola seminale): "La coppia di ghiandole bulbouretrali (...) sono ghiandole ovali allungate d'aspetto ecogenico uniforme e con grande spazio anecogenico al centro della ghiandola che si estende sopratutto longitudinalmente (...) Le pareti delle vesicole seminali sono sottili e il parenchima presenta multiple piccole aree, ecotranslucide che sembrano fondersi e formare un canale centrale. La ghiandola prostatica si identifica come una ghiandola di dimensione di una noce, d'aspetto ecogenico uniforme". Come si è dimostrato per l'epididimo, l'architettura delle 3 ghiandole cambia dopo l'eiaculazione se confrontate con il periodo pre-eiaculazione, in conseguenza della perdita della "componente liquida" che diminuisce, allora le ghiandole si vedono con una maggior ecogenicità.

Gli studi sull'uso pratico dell'ecografia nella riproduzione dei verri sono scarsi. Il diametro dei testicoli sono stati determinati con la finalità di poter associarli al numero totale medio di spermatozoi prodotti nell'eiaculato (Clark et al., 2003) oppure per valutare lo sviluppo puberale (Ford & Wise, 2010). Nonostante la correlazione del diametro di entrambi i testicoli ed il numero totale di spermatozoi fu insufficiente, almeno nei verri con età superiore a 8 mesi; la determinazione della dimensione testicolare dei verri più giovani, a circa 4 mesi di età, sembra utile per predire il volume testicolare futuro e la produzione di sperma in età matura. Esiste un rapporto recente su un verro Large White infertile con una degenerazione multicistica della ghiandola bulbouretrale; nella ghiandola colpita sono stati osservarti cisti anecogenici solidi e ben definiti di diversa misura (figura 6, Grahofer et al., 2016).

Riassumento, l'ecografia del tratto riproduttivo del verro è una tecnica diagnostica possibile che può portare informazioni di valore rispetto alla funzionalità e salute del tessuto. Nonostante l'uso in pratica sia molto limitato, l'autore è fermamente convinto che l'uso della tecnica (oltre altre come il Doopler a colore [figura 7A e B]) tendono ad essere più utilizzati tra i veterinari di suini come strumento per la stima delle future performance degli eiaculati e per diagnosticare in modo preciso problemi di subfertilità ed infertilità associati a tessuti malati.

Figura 7:Imágenes del testículo obtenidas mediante ultrasonografía Doppler color. A) Vasos del cordón espermático. B) Arteria testicularis
Ringraziamenti
Gli autori ringraziano Nadja Legler per l'aiuto nella generazione delle immagini utilizzate in questo articolo.




