Solamente fino ad un paio d'anni fa la vaccinazione contro il circovirus suino tipo 2 (PCV2) si applicava basicamente nei casi in cui l'infezione aveva un'espressione clinica. In questo modo si faceva più attenzione alle malattie provocate dal circovirus suino (PCVDs), e in particolar modo alla malattia di tipo sistemico da PCV2 (PCV2-SD, precedentemente conosciuta come deperimento). I vaccini dimostrarono, fin dal primo momento, di essere uno strumento eccellente per controllare la malattia. Inoltre alcuni parametri produttivi come la mortalità sono migliorati, alcune volte a valori di 20 anni fa. Nel percepire una efficacia così positiva del vaccino, alcuni veterinari ed allevatori hanno deciso di utilizzarlo non solo in allevamenti clinicamente colpiti, ma anche in altre situazioni. I risultato di questi allevamenti senza l'espressione clinica di malattia PCVD (presumibilmente sani) è stato positivo con un miglioramento globale. Oggi, alla fine del 2013, possiamo affermare che abbiamo a disposizione molte informazioni sugli effetti della vaccinazione nei confronti del PCV2 nei scenari cosi detti subclinici.

|  | |
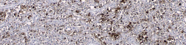
| Antigeni di PCV2 rilevati attraverso immunoistochimica. Nei linfonodi linfatici di suini infetti subclinicamente si trovano poche cellule infette. | Antigeni di PCV2 rilevati attraverso immunoistochimica. Nei linfonodi linfatici di suini infetti clinicamente si trova una grande quantità di cellule infette. | 
Come definire una infezione subclinica da PCV2 (PCV2-SI)?. In base agli studi sierologici sul PCV2, si conferma l'ubiquitarietà dell'infezione da PCV2, mentre la prevalenza della malattia clinica è molto minore. Da un altro lato, la prima evidenza dell'infezione da PCV2 è stata realizzata rispettivamente in Europa nel 1962, mentre la prima diagnosi retrospettiva di PCV2-SD data la metà degli anni 80. In questo modo, raccogliendo tutti i dati, si osserva che la forma più frequente della manifestazione del PCV2 è l'infezione subclinica, ora e anche nel passato. Alla fine dobbiamo ammettere che anche negli allevamenti molto colpiti da PCV2-SD, la maggior parte degli animali hanno l'infezione subclinica invece della malattia clinica. A questo punto si dovrà definire cosa vuol dire PCV2-SI dal punto di vista diagnostico. Di fatto, sono stati proposti una serie di criteri (vedere tabella 1). Certo che la diminuzione dell'AMG(accrescimento medio giornaliero) può essere causato da molte malattie e si potrebbe anche suggerire che solo questo sarebbe sufficiente per considerare un segnale clinico e non subclinico. Senza dubbio, la variazione si potrà solamente stabilire se si prendono dati di peso in modo frequente, dato che l'occhio non può essere sufficiente per questa valutazione.
Tabella 1. Segnali clinici e criteri proposti per stabilire una diagnosi di PCV2-SI.
| Segnali clinici | Criteri per la diagnosi | 
| Diminuzione dell'AMG senza sintomi evidenti | 
 I criteri 2 e 3 possono potenzialmente essere sostituiti da tecniche di identificazoine del PCV2 come la PCR standard. | 
Finora, in questo scenario subclinico, si è dimostrato che la vaccinazione dei suinetti contro il PCV2 migliora l'AMG e riduce la mortalità e percentuale di suinetti di seconda scelta, la disuniformita di peso al macello e la conversione alimentare. E' certo che senza dubbio, la maggioranza di questi effetti non sono stati valutati tutti in un solo allevamento, ma esistono molte esperienze di uno o più di questi fattori assieme. In qualsiasi caso, il numero delle evidenze positive delle vaccinazioni in situazioni cliniche è molto più elevato, per cui è altrettanto vero che gli effetti sulle infezioni subcliniche, tuttavia, necessita di ulteriori conferme. E' rilevante che il vuoto maggiore è correlato con gli studi economici, specialmente con il ritorno dell'investimento (ROI) della vaccinazione. Fino ad oggi, non esistono studi esaurienti che dimostrino che il ROI della vaccinazione in uno scenario subclinico è sempre favorevole oppure solo in certe circostanze. Se il caso fosse questo, conosciamo le circonstanze? La risposta è no. Da un'altra parte, questo è anche correlato alla diagnosi di PCV2. Conosciamo il limite di carica virale a partire dal quale possiamo assicurare un ROI accettabile? La risposta di nuovo è....no. E' molto probabile che i veterinari di campo non si preoccupino di questi temi, visto l'utilizzo dei vaccini a livello mondiale in alcuni paesi raggiunge il 90-100% della popolazione suina. Per fare l'avvocato del diavolo la domanda sarebbe...se la vaccinazione viene eseguita con le stesse modalità su tutti o quasi tutti i suini in tutti gli allevamenti, stiamo sfruttando al massimo l'efficacia del vaccino? Chi lo sa, in futuro forse parleremo di programmi vaccinali nella stessa misura in cui questi massimizzeranno l'efficacia vaccinale (miglior momento di applicazione, vaccinazioni di massa su scrofe, suinetti o entrambi, ecc) ed il ROI.
Finalmente, dal punto di vista scientifico, sarebbe importante conoscere i meccanismi attraverso i quali i suini sviluppano infezioni cliniche o subcliniche. Varie pubblicazioni hanno affrontato questo importante argomento, ma finora manca una risposta esauriente. Da un altro lato, conosciamo alcuni degli effetti subclinici dell'infezione da PCV2, tuttavia non sono così conosciuti come quelli correlati alla malattia sistemica (PCV2-SD). E' stato pubblicato che l'infezione subclinica da PCV2 potrebbe essere correlata con la riduzione dell'efficacia del vaccino (in riferimento ad altri vaccini applicati nello stesso momento dell'infezione da PCV2). Al contrario, un'infezione subclinica sperimentale da PCV2 non produce effetti avversi sulla risposta immunitaria indotta da un vaccino contro l'Aujeszky. Nonostante che lungo gli anni siano stati prodotti risultati variabili, la conclusione generale è che il PCV2 ha una capacità di modulare la risposta immunitaria non solo durante il periodo della malattia ma anche durante l'infezione subclinica.
Può darsi che attualmente ci sia qualche dubbio sugli effetti benefici del vaccino nei confronti del PCV2, tanto sotto l'aspetto clinico che sotto l'aspetto economico nelle infezioni subcliniche nei suinetti, però....qual'è il ruolo della scrofa?. E' possibile che la vaccinazione possa avere effetti positivi sull'infezione subclinica delle scrofe?. Bene, dobbiamo passare dall'intuizione ai dati!!.




