
Importanza della Patologia nella Diagnosi Suina
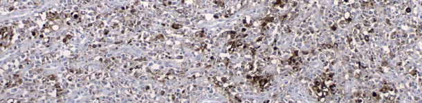
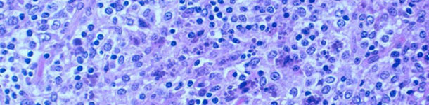
L'istopatologia può fornire un solido quadro per stabilire la causa effettiva di un problema clinico...
Notizie, eventi e reportage di attualità del settore suinicolo
L' Agenda di 3tre3 ti permette di essere aggiornato ogni giorno sugli eventi nazionali ed internazionali correlati con il settore suinicolo
Un riassunto settimanale delle news di 3tre3.it
Bollettino settimanale di notizie del mondo dei suini
Tutto sulla sanità suina: notizie ed articoli su malattie virali e batteriche (PRRS, PCV 2, ecc) , biosicurezza, ecc., guida alle malattie del suino, atlant
Come realizzare una necroscopia nella specie suina, passo a passo, in forma visiva e pratica
Tutte le info sulla Peste Suina Africana (PSA) su 333 e link esterni
Descrizioni delle malattie e condizioni più importanti nei suini.
Lesioni e sintomi delle principali malattie dei suini
Simulatore per diagnositcare le malattie dei suini
Calcola la quantità di prodotto da aggiungere all'acqua da bere attraverso un dosatore di flusso
Un riassunto settimanale delle news di 3tre3.it
Prezzi dei suini per paese. Produzione e commercializzazione di carni suine. Notizie di mercato e delle materie prime. Commenti sul mercato.
Ultime quotazioni del mercato suinicolo delle piazze più importanti con dati storici e grafici
Ultime quotazioni delle principali materie prime per mangimi. Grafici dei prezzi storici assieme al prezzo dei suini ed una stima del prezzo dei mangimi.
Ultime quotazioni dei principali tagli di carni suine. Storico dei prezzi in diverse valute e in formato grafico.
Quotazioni dei suini iberici nei mercati di Extremadura, Salamanca e Araporc.
Il simulatore calcola il costo di produzione ed il margine dei suini nelle condizioni italiane
Dati e tendenze delle presenze capi, produzione di carne, commercio delle carni suine, ecc
Dati della produzione e commercio mondiale delle principali materie prime
Un riassunto settimanale delle news di 3tre3.it
Informazione settimanale del prezzo del suino, delle materie prime ed inoltre un indice delle materie prime.
Articoli su nutrizione ed alimentazione di suini, materie prime, caratteristiche dei mangimi, additivi, prezzi, fabbisogni, ecc
Schede tecniche delle principali materie prime ed additivi. In più informazioni sui valori nutrizionali, produzione e commercio, ultime ricerche, ...
Ultime quotazioni delle principali materie prime per mangimi. Grafici dei prezzi storici assieme al prezzo dei suini ed una stima del prezzo dei mangimi.
Dati della produzione e commercio mondiale delle principali materie prime
Usa questo simulatore per fare la diagnosi dei problemi di resa o indice di conversione. Fai click nel diagramma di flusso o nei tasti all'interno del testo per navigare tra le varie finestre del simulatore
Un bollettino mensile di notizie sulla nutrizione suina
Articoli sulla genetica e riproduzione nei suini: selezione, genomica, inseminazione artificiale, uso di ormoni, gestazione, problemi riproduttivi...
Confronta i dati produttivi, calcola il numero di posti che hai bisogno in ogni reparto, visualizza il calendario dei lavori per settimana per ogni Banda
Calcola l'entrata delle scrofette all'inizio di un allevamento, al momento dell'ampliamento o la rimonta di una azienda in attività
Un riassunto settimanale delle news di 3tre3.it
Management e gestione degli allevamenti suinicoli, organizzazione dei lavori in ogni fase produttiva, bande, ecc
Confronta i dati produttivi, calcola il numero di posti che hai bisogno in ogni reparto, visualizza il calendario dei lavori per settimana per ogni Banda
Il simulatore calcola il costo di produzione ed il margine dei suini nelle condizioni italiane
Calcola l'entrata delle scrofette all'inizio di un allevamento, al momento dell'ampliamento o la rimonta di una azienda in attività
Un riassunto settimanale delle news di 3tre3.it
Progetti di strutture ed attrezzature per allevamenti di suini: costruzioni, sistemi di ventilazione, sistemi di alimentazione, ecc. Puoi confrontare le att
Confronta i dati produttivi, calcola il numero di posti che hai bisogno in ogni reparto, visualizza il calendario dei lavori per settimana per ogni Banda
Di cosa ho bisogno nel mio allevamento? Ti facciamo vedere varie attrezzatura perche tu possa scegliere la migiore..
Un riassunto settimanale delle news di 3tre3.it
Informazioni sul settore delle carni suine: notizie, legislazione, articoli su qualità, igiene, sicurezza alimentare, e prezzi delle carni e tagli di carni.
Ultime quotazioni dei principali tagli di carni suine. Storico dei prezzi in diverse valute e in formato grafico.
Notizie sulle carni suine su 3tre3.it
Un riassunto settimanale delle news di 3tre3.it
Qui troverai gli specialisti in suini che collaborano con 3tre3 e il loro curriculum.
Joaquim Segalés i Coma è nato a Vic (Barcellona) nel 1968, e si è laureato nella Facoltà di Medicina Veterinaria dell'Università Autonoma di Barcellona (UAB) nel 1991. Successivamente conclude il dottorato nel 1996 presso la stessa Università dopo 15 mesi di studio all'Università di Minnesota (UM, Stati Uniti) dove i tutor erano Mariano Domingo (UAB) e Carlos Pijoan (UM). Nel 2000 si diploma all'European Collage of Veterinary Pathology (ECVP). E' professore titolare del Dipartimento di Sanità Animale della Facoltà di Veterinaria della UAB dove insegna anatomia patologica e clinica suina.Attualmente è direttore del Centro di Ricerca di Salute Animale (CReSA), all'interno della propria UAB.
Il Dr. Segalés ha participato in molteplici progetti di ricerca, nazionali ed europei, nell'ambito delle varie malattie suine, così come collabora con molte imprese del settore sia nazionali che internazionali. Tra le linee di ricerche dove partecipa o ha partecipato si evidenziano:(PRRSV), Haemophilus parasuis, virus dell'Aujeszky (ADV), Mycoplasma hyopneumoniae, virus dell'epatite E (HEV) e malattie associate al PCV2. Si fa notare che il Dr. Segalés ha partecipato alla prima descrizione in Spagna della Sindrome del Deperimento Suino Post-Svezzamento nel 1997 e della Sindrome della Dermatite-Nefrite nel 1996. Frutto di queste indagini, è coautore di oltre 90 articoli su riviste scientifiche internazionali, così come è coautore di 5 capitoli dell'importante libro, nel quale si evidenziano le malattie da Circovirus Suino nella 9° edizione di Diseases of Swine. E' anche coautore del libro di necroscopia suina e di altri 3 libri di casi clinici di suini.
Curriculum attualizzato: 14-Mag-2013

L'istopatologia può fornire un solido quadro per stabilire la causa effettiva di un problema clinico...

Il rilevamento delle Lesioni Polmonari al macello, consente anche di stimare le Perdite Economiche...

A seconda dei livelli di immunità materna, può verificarsi una potenziale interferenza con il vaccino, compromettendo la sieroconversione e l’efficacia del vaccino...

La raccolta di dati presso il macello è un metodo comune per ottenere informazioni sulla salute e sulla produttività, principalmente delle ultime settimane di vita del suino...

Dove stiamo riscontrando più evidenze del possibile ruolo del PCV-3 è in alcuni problemi riproduttivi...

La frequenza di gravi problemi con il genotipo a era molto inferiore rispetto al genotipo b. Perché è cambiata la frequenza di questi genotipi?...

Negli ultimi anni, da quando il vaccino contro il PCV-2 è apparso per risolvere l'enorme problema generato dalla Circovirosi, cosa pensi sia cambiato e in che modo influisce sugli allevamenti?...

I pesi medi dei suinetti al momento del parto nei 3 gruppi di scrofe vaccinate erano statisticamente superiori a quelli delle scrofe non vaccinate...

Tutti i vaccini disponibili sul mercato europeo e nordamericnao sono basati sul genotipo PCV2a, mentre i genotipi più prevalenti sono PCV2b e PCV2d. Nonostante sia già dimostrato un livello significativo di protezione crociata tra i 3 genotipi, sarebbe interessante valutare l'equivalenza dell'efficacia vaccinale nei confronti di tutti i genotipi...

In questo articolo si spiegano i fattori da considerare per decidere il momento ottimale della vaccinazione nei confronti del PCV2 e mostra i risultati di un studio che valuta l'efficacia dei vari programmi vaccinali in un allevamento con infezione subclinica.

Recentemente, è stato suggerito che il PCV2 è capace di causare diarrea nei suini ed è stata proposta come malattia enterica capace di produrre diarrea nei suini (PCV2-ED) e classificata come un'entità separata dalle malattie associate al circovirus suino (PCVDs).

La situzione studiata in questo articolo è quella delle perdite causate da una minor crescita in svezzamento, quantificata da 13,1 € a 7,5 €/capo per i suini con carica virale di PCV2 alta e media, rispettivamente, con il metodo della PCRq individuale.

Sapendo che il PCV2 ha una elevata resistenza ambientale ed altrettanta capacità di trasmissione, non ci sorprende che abbia una distribuzione ubiquitaria.

Può darsi che ci sia ancora qualche dubbio sugli effetti benefici della vaccinazione nei confronti del PCV2, sia per quanto riguarda l'aspetto clinico che quello economico nelle infezioni subcliniche nei suinetti. Qual'è il ruolo della scrofa? E' possibile che la vaccinazione possa avere effetti positivi sulle infezioni subcliniche delle scrofe?

L'infezione sperimentale con Mhyo e PCV2 dà risultati controversi.

Novità sulle vie di eliminazione, vie di trasmissione, fattori di rischio e la spiegazione del perchè il PCV2 diventa patogeno.
Benvenuto su 3tre3
Condividi, partecipa, posta e fai parte del maggior social network dei suini
Siamo già 191755Utenti
RegistratiEri già un membro?



