
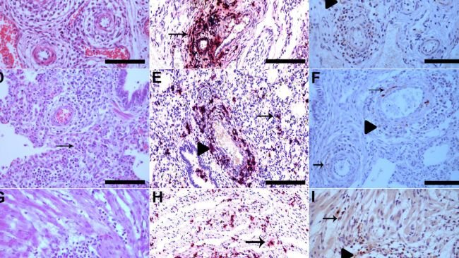
Quando 1+1 è maggiore di 2: Interazioni che causano il Complesso Respiratorio Suino (PRDC-Porcine Respiratory Disease Complex) (1/3)
Jean Paul Cano, veterinario con una vasta esperienza sul campo negli Stati Uniti e attualmente in Spagna, ha fornito la sua prospettiva pratica sulla gestione della PRDC (Porcine Respiratory Disease Complex) in un contesto produttivo. Joaquim Segalés, professore presso l'UAB e ricercatore presso il CReSA, ha offerto una prospettiva accademica e condiviso gli ultimi progressi sulla patogenesi della PRDC...













