Pagina 4 di Articoli su sanità in Abstracts

Determinazione della proporzione di individui che reagiscono in modo ampio con anticorpi neutralizzanti contro il virus PRRS in popolazione di scrofe in campo
Ci sono scrofe che reagiscono meglio dal punto di vista immunitario rispetto ad altre?... Questo studio metti in evidenza spunti importanti per la comprensione delle dinamiche nelle scrofaie...
Effetti di una miscela di minerali organici sulla salute e sulle prestazioni delle scrofe e dei loro suinetti

La N-glycosylation delle posizioni spike 652 e 661 del deltacoronavirus modula in suo ingresso nelle cellule
Il deltacoronavirus responsabile di malattie enteriche nei suini potrebbe essere controllato conoscendo meglio come entra nelle cellule: in questa ricerca cinese lo studio ha valutato le posizioni spike del virus per l'ingresso nelle cellule...
Prima rilevazione di PCV4 nei suini negli Stati Uniti

Lo Status della Patologia Polmonare durante l'infezione da PRRSV-1
Dimmi che ceppo hai e ti dirò quanto male ti fa la PRRS... E' la sintesi di questa ampia revisione sul virus della PRRS...
Valutazione del rischio di trasmissione dell'Influenza tra operatori e suini in un allevamento da ingrasso negli USA
Strategie di trattamento dei liquami per mitigare la diffusione della resistenza agli antibiotici

Il veleno d'api incapsulato in poli (lattide-co-glicolide) rivestito di chitosano somministrato per via nasale aumenta l'immunità correlata al T helper 1 contro l'infezione da Salmonella Typhimurium nei suini
Lo studio ha efficacemente dimostrato che è possibile vaccinare i suini per via nasale contro la salmonella...
Ridurre la trasmissione di malattie tra allevamenti tramite una simulazione di rerouting dei mezzi di trasporto e implementazione delle azioni di pulizia e disinfezione

Diversità genetica del PCV2 e PCV3 circolanti nella popolazione di cinghiali in Russia
Lo studio mira a identificare la presenza dei circovirus nei suini in Russia, caratterizzando il genotipo e realizzando varie correlazioni dei risultati ottenuti...

Costruzione inversa della genomica e patogenicità di un nuovo virus ricombinante NADC30-like di PRRS isolato in Cina
E' stato isolato un ulteriore ceppo di PRRSV ad alta patogenicità...

Visione metagenomica delle famiglie di batteri isolate e antimicrobico resistenza presente nelle polveri di allevamenti suinicoli
Lo studio è stato realizzato in Tailandia con lo scopo di valutare l'aspetto dell'antimicrobico-resistenza nell'aria intorno e dentro gli allevamenti suinicoli...
Riclassificazione del virus della PSA in 7 biotipi utilizzando l'apprendimento automatico non supervisionato

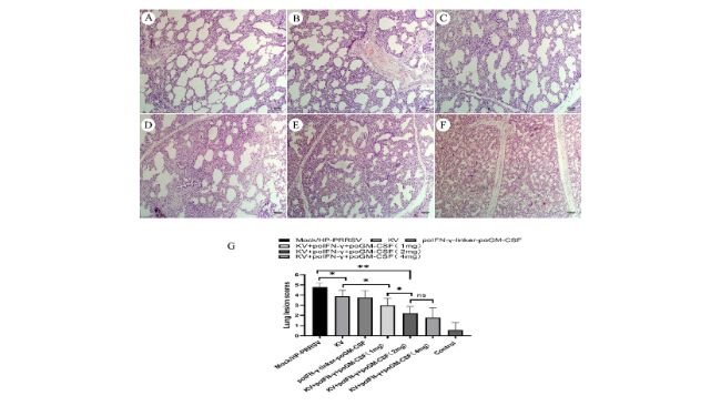
Migliorata l'immunogenecità e l'attività di protezione anti-virale di vaccini inattivati contro la PRRS nei suinetti
Questo studio cinese ha dimostrato un miglioramento della risposta immunitaria contro il virus della PRRS attraverso un innovativo adiuvante...
Il vaccino ricombinante basato sulla subunità S induce un'immunità protettiva contro il Deltacoronavirus Suino nei suinetti
Bollettino settimanale di notizie del mondo dei suini
Fai il log in e spunta la lista