La diarrea nei suini in accrescimento è un problema negli allevamenti commerciali e limita significativamente l'efficienza e la redditività della produzione suinicola mondiale. I disturbi intestinali nei suini di oltre 4 settimane di età possono essere causati da vari agenti infettivi come il rotavirus, coronavirus, Escherichia coli, Brachyspira spp., Salmonella spp., Yersinia spp., Lawsonia intracellularis, Oesophagostomum dentatum e Trichuris suis, tra gli altri. Di fatto, la maggior parte dei casi di diarrea post-svezzamento e di coliti sono dovuti ad eziologie multiple, assieme al cambio di mangime, acqua ed altri fattori ambientali.
Il circovirus suino tipo 2 (PCV2), agente causale della malattia sistemica associata al PCV2 (PCV2-SD) e l'infezione subclinica associata al PCV2 (PCV2-SI), è considerato un patogeno sistemico. Tuttavia si è suggerito recentemente che fosse capace di causare diarrea nei suini, essendo classificata come malattia enterica associata al PCV2 (PCV2-ED) come una entità separata all'interno delle malattie associate al circovirus suino (PCVDs). La definizione del quadro include: a) suini con diarrea; b) enterite granulomatosa e deplezione dei linfociti, osservati microscopicamente nelle placche del Peyer, ma non in altri tessuti linfoidi; e c) quantità, da moderate ad alte, di PCV2 rilevate nella mucosa o nelle Placche del Peyer, senza rilevamento in altri tessuti sistemici.

Con il fine di acclarare la vera incidenza del PCV2-ED, si progettò uno studio per investigare sulla prevalenza dell'infezione da PCV2 in suini all'ingrasso con diarrea in Spagna e per valutare la possibile coesistenza tra PCV-ED e PCV2-SD. Lo studio venne realizzato con 96 suini che soffrivano diarrea e furono inviati per una necroscopia completa ed analisi di laboratorio al Servei de Diagnòstic de Patologia Veterinària, presso la Facoltà di Veterinaria dell'Universitat Autònoma de Barcelona (Spagna). I campioni inviati (Fig. 1) corrispondevano al periodo 1998-2011, ed includevano solamente suini non vaccinati vs PCV2. Le lesioni enteriche più predominanti erano enterite/colite catarrale(77,1%), fibrinosa (11,5%) e granulomatosa (4,2%); inoltre furono osservate altre lesioni come emorragie o ulcerazioni (4,2%). 72 suini (75%) diedero esito positivo al PCV2 mediante ibridazione in situ (ISH). Tra i suini positivi al PCV2 mediante ISH, si confermó che 39 soggetti sembravano PCV2-SD e 33 non avevano lesioni linfonodali significative, ma avevano una bassa quantità di acido nucleico virale in vari tessuti linfoidi. Di conseguenza, quest'ultimi mostravano l'esistenza di una infezione da PCV2 sistemica e pertanto non vennero dichiarati come PCVD-ED. Di fatto, l'interpretazione patologica della bassa quantità di PCV2 nei vari linfonodi sistemici senza lesioni istologiche significative ha 3 possibilità: a) PCV2-SI, b) fase iniziale di una successiva PCV2-SD, o c) fase di recupero da PCV2-SD.

Fig. 1. Diagramma del flusso che descrive la selezione ed i criteri diagnostici dei suini infettati da PCV2 inclusi in questo studio. PCV2, circovirus suino tipo 2; PCV2-SD, malattia sistemica associata a PCV2; PCV2-ED, malattia enterica associata al PCV2.
In conclusione, i risultati ottenuti in questo studio (Fig. 1) suggerirono che il PCV2-ED è probabilmente una condizione insignificante e che il PCV2 contribuisce principalmente ai disordini clinici enterici in relazione con l'incidenza del PCV2-SD.
Bisogna rilevare che i problemi enterici si trovano con frequenza in allevamenti colpiti dal PCV2-SD. Nonostante non sia ben chiaro il meccanismo esatto per il quale questi soggetti ammalati avevano la diarrea. Da un lato, l'immunosoppressione sistemica vincolata al PCV2-SD sarebbe una delle ragioni principali per scatenare l'effetto dei patogeni enterici esistenti in allevamento, che possono non esprimersi a meno che il sistema immunitario non sia compromesso. Da un altro lato, il risultato patologico del PCV2-SD in una parte dei soggetti include un grado variabile di enteriti granulomatose (fotografie 1 e 2), che causerebbero diarrea a causa dell'alterazione della permeabilità della barriera intestinale. In questo scenario, l'arrivo dei vacini vs il PCV2 ha causato una diminuzione radicale dei suini e degli allevamenti che presentavano segni clinici e lesioni da PCV2-SD e pertanto, la concomitanza dell'infezione virale con altri patogeni enteci sono diminuiti significativamente.

Fotografia 1. Ileo. Deplezione dei linfociti marcata ed infiammazione granulomatosa delle Placche del Peyer nell'ileo di un suino colpito da malattia sistemica associata al PCV2. Colorazione con ematosilina ed eosina.

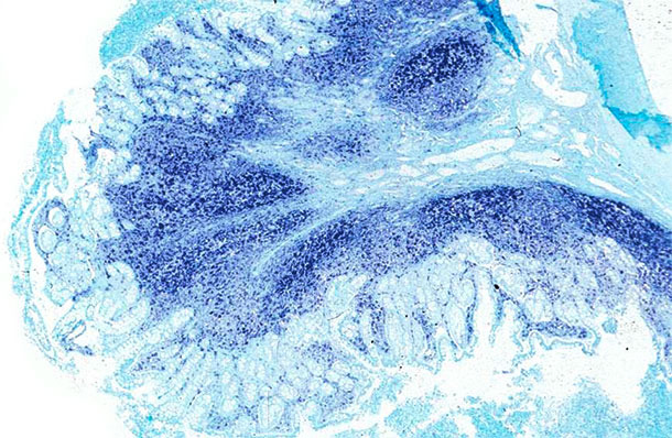
Fotografia 2. Ileo. Lo stesso ileo del suino colpito da malattia sistemica associata al PCV2 presenta una gran quantità di genoma di PCV2 nelle Placche di Peyer e nella mucosa intestinale. Ibridazione in situ per rilevare PCV2; colorante di contrasto verde rapido.
Grazie alla vaccinazione, oggi la forma più comune di PCV2 è il PCV2-SI, dove le lesioni ed i segni clinici sistemici e digestivi causati dal virus sono minimi. Di conseguenza, quando i problemi di diarrea sono presenti ad una età nella quale il PCV2-SI anch'esso può esserci, è molto probabile che si producano infezioni concorrenti con patogeni enterici e che quest'ultimi siano i principali agenti che contribuiscono al problema clinico. Pertanto è molto importante utilizzare gli strumenti diagnostici disponibili al fine di determinare il peso specifico di ogni patogeno in questa malattia enterica. Gli esami patologici (macroscopici ed istopatologici) possono essere di grande aiuto per tentare di valutare questi casi.


